
 Слово «реставрация» обычно относится к различным эстетическим процедурам, направленным на восстановление или коррекцию формы и цвета зубов. Основными показаниями к эстетической реставрации передних зубов являются сколы или разрушения зубов, небольшие сколы или микротрещины эмали, а также изменение формы зубов вследствие плохо пролеченного пульпита или других заболеваний в прошлом. Наиболее распространенным видом стоматологического лечения является прямая реставрация композитными материалами, в частности, наращивание зубов. Он достаточно эффективен для устранения сколов передних зубов и щелей между зубами в зоне улыбки.
 Стоматологическая клиника АССА предлагает широкий спектр стоматологических услуг по самым доступным ценам.
 Непрямые реставрации включают виниры, зубные протезы с вкладками, керамические коронки и полукоронки. Обычно, однако, когда мы говорим о протезировании, мы имеем в виду исправление зубов с помощью композитных материалов.
Показания к композитной реставрации
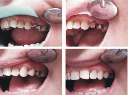
Пломба используется, когда край переднего зуба скололся, но полость небольшая. Композитные реставрации не видны на боковых зубах. Поэтому пломбу ставят, когда остается более половины здоровой ткани.
Преимущества непрямых реставраций
Отзывы о художественных реставрациях с керамическими вкладками часто лучше, и вот почему. Они имеют идеальную форму и соответствуют зубам-антагонистам. Вкладка изготавливается в лаборатории, а не во рту пациента. Зубной техник изготавливает гипсовую модель по слепку, сделанному стоматологом. С его помощью проверяется высота прикуса, его форма, чтобы он точно соответствовал имеющимся зубам рядом и на противоположной стороне. Гладкость. Керамика остается гладкой даже спустя годы. Зубной налет «прилипает» к поверхности, и зуб имеет блестящий и естественный вид. Долговечность. Керамика — это прочный материал, прочный и долговечный.
Когда показано протезирование
Подход к имитации зубов может быть самым разным, чтобы обеспечить надлежащее функционирование и эстетичный внешний вид. Задача реставрационной стоматологии — выбрать подходящий метод и восстановить зуб.
Такие процедуры в настоящее время очень популярны, в том числе благодаря их относительной безболезненности и доступной цене. Если раньше эта услуга была доступна только политикам и звездам шоу-бизнеса, то теперь ее может позволить себе практически каждый.
 Сколы или разрушение зубов, обширный кариес, изменение цвета зубов и большие промежутки между зубами являются медицинскими показаниями для протезирования. Сегодня зубные протезы способны решить проблемы, которые раньше приводили к удалению зубов и последующему протезированию.
Этапы восстановления
Основные этапы протезирования следующие:
- Подготовительный этап. На этом этапе проводится профессиональная чистка зубов, определяется цвет будущего зуба и подбирается оттенок композитного материала, который будет использоваться для реставрации. При необходимости применяется местная анестезия. Ткани зуба, пораженные кариесом, высверливаются. При замене старой реставрации старая пломба высверливается и заменяется новой. Зуб изолируется от слюны с помощью коффердама — латексной стропы, которая надевается на зуб через специальные отверстия. Композитная реставрация, не изолированная должным образом от слюны, не прослужит долго и может вызвать такие проблемы, как темные полосы или полости на границе зуба и дентина, или даже потерю реставрации.
 - При большой потере тканей зуба чаще всего используются коронки и корневые вкладки. Они используются для формирования нового зуба в будущем. Среди наиболее популярных — анкерные, титановые, стекловолоконные и серебряные столбы. Перед фиксацией штифта проводится подготовка корневого канала. Затем штифт цементируется в полости корневого канала с помощью специального цемента или современных адгезивных материалов. Корневой канал переделывается. Послойная техника используется для придания зубу аутентичного вида. Последовательно наносятся слои композита различных оттенков и прозрачности. В конечном итоге новому зубу придается естественный вид. Окончательная форма зуба придается путем сверления, полировки и шлифовки пломбы.
 
