Новости
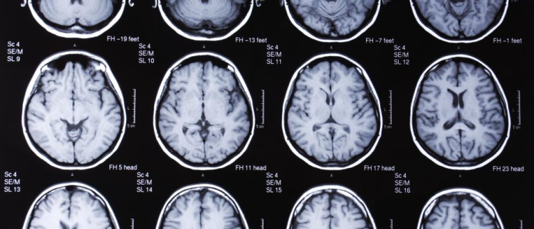
Что такое МРТ и как формируется диагноз Магнитно-резонансная томография (МРТ) — это современный метод визуализации внутренних структур организма, основанный на использовании магнитного поля и радиоволн. Этот метод позволяет
Основные принципы постановки диагноза Постановка правильного диагноза — это фундаментальный шаг в процессе оказания медицинской помощи. От корректности диагноза зависит, насколько эффективно будет назначено лечение и как быстро
Современные методы визуализации в диагностике заболеваний В области медицины **визуализация** играет ключевую роль для точной диагностики различных заболеваний. Современные технологии позволяют врачам получать детализированные изображения внутренних органов и
Современные методы диагностики сердечно-сосудистых заболеваний Диагностика сердечно-сосудистых заболеваний — это комплексный процесс, включающий в себя различные методы обследования, позволяющие выявить патологические изменения на ранних стадиях. Важнейшей задачей является
Определение и значение медицинского диагноза Медицинский диагноз представляет собой процесс выявления и идентификации заболевания или патологического состояния у пациента. Он является основой для выбора эффективной терапии и прогноза
Почему ранняя диагностика рака жизненно важна Ранняя диагностика рака является одним из ключевых факторов, влияющих на успешность лечения и шансы пациента на выздоровление. Когда заболевание обнаруживается на начальной
Основные задачи анализа крови в медицине Анализ крови является одним из самых распространённых и информативных методов диагностики в современной медицине. Кровь — это сложная биологическая жидкость, которая отражает
Італійська косметика завжди асоціюється з високою якістю, елегантністю та увагою до деталей. Одним із яскравих представників цієї лінійки є бренд Lamic, який пропонує сучасну доглядову косметику, створену для
У сучасному світі швидкий ритм життя, стреси та несприятливі зовнішні фактори нерідко впливають на стан нервової системи. Неврологічні захворювання стають все більш поширеними, і від правильності їх діагностики
Что такое одномоментная имплантация зубов Одномоментная имплантация зубов — это метод постановки импланта и временного зубного протеза за одну процедуру или в рамках одного визита к стоматологу. В
