Новости
Использование искусственного интеллекта в диагностике Одной из передовых технологий, внедряемых в медицинскую диагностику, является использование искусственного интеллекта (ИИ). С помощью алгоритмов машинного обучения и нейронных сетей, ИИ способен
Прогрессивные подходы к обследованию Современные методы обследования пациентов становятся все более прогрессивными и эффективными. Они позволяют проводить более точные диагностики, выявлять заболевания на ранних стадиях и предлагать более
Возможности современной диагностики С развитием технологий и научных исследований, современная медицина располагает огромным арсеналом инновационных методов диагностики различных заболеваний. Они позволяют врачам точно определить причину симптомов у пациента
Лифтинг через регенерацию тканей – это современный метод омоложения, который стимулирует естественные процессы восстановления кожи. В отличие от традиционных процедур, которые направлены на временное подтягивание, этот подход активирует
Кодирование от алкоголизма по методу Довженко — это психотерапевтическая техника, которая используется для лечения алкогольной зависимости. Этот метод был разработан советским врачом-наркологом Александром Довженко в 1980-х годах и
Что такое неинвазивные диагностические методы Неинвазивные диагностические методы — это подходы в медицине, позволяющие получить необходимую информацию о состоянии здоровья пациента без необходимости проникновения внутрь организма или нарушения
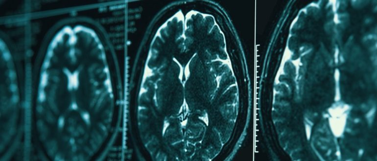
Современные технологии визуализации в медицинской диагностике Современная медицина во многом зависит от **прогрессивных методов визуализации**, которые позволяют получить детальные изображения внутренних органов и тканей человека без инвазивных вмешательств.
Понятие и значение психологического диагноза Психологический диагноз представляет собой **процесс систематической оценки и интерпретации психологических характеристик личности**, направленный на выявление существующих психологических проблем, нарушений и особенностей поведения. Главное
Основные методы диагностики инфекционных болезней Диагностика инфекционных болезней является ключевым этапом в определении причины заболевания, выборе правильной терапии и контроле за распространением патологии. Существует множество методов, которые позволяют
Причины возникновения ошибок в постановке диагноза Ошибки в постановке диагноза могут возникать по самым разным причинам, охватывающим как индивидуальные, так и системные факторы медицинской практики. Одной из основных
