
Нужно просто бороться и вы справитесь. К счастью, в большинстве случаев это происходит случайно, именно по-этому рачительные американцы и европейцы не тратят деньги на обследование супружеской пары в случае если это случилось всего 1 раз.
Итак, состоялась чистка после замершей беременности, что делать дальше?
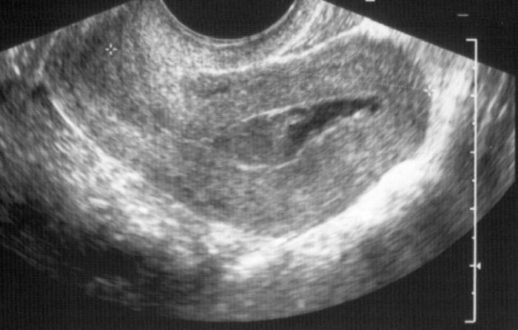
Сразу при обнаружении замершей беременности вам предстоят обследования, которые будут проведены в любом случае и уже могут дать полезную информацию: трансвагинальное УЗИ позволяет исключить такие причины как опухоли матки, её пороки развития.
Проведенное выскабливание при замершей беременности дает материал для гистологического исследования, уже через 10 дней вы получите заключение гистолога, а полученные ткани плода подвергаются цитогенетическому анализу, который позволяет исключить хромосомную патологию как причину замершей беременности.
Планировать беременность гинекологи не рекомендуют в течение 6 месяцев после потери ребенка, у вас будет время как обследоваться, так и подготовиться к следующей беременности. Для контрацепции обычно используются оральные контрацептивы.
Планирование беременности после замершей беременности
Прежде чем планировать беременность после замершей беременности нужно обследоваться на скрытые инфекции ( анализ на TORCH-комплекс). Скрытые инфекции частая причина невынашивания беременности, основные анализы — определение наличия антител к вирусу генитального герпеса, хламидиям, папилома-вирусу, вирусу цитомегалии, посевы на микоплазму и уреаплазму.
- При повторной замершей беременности стоит обследоваться более глубоко.
 - Это генетические исследования, такие как определение кариотипа и мужчины, и женщины, частота спонтанных хромосомных аберраций, и др.
 - Мужчине стоит сдать спермограмму.
 - Женщине — сдать мазок на чистоту влагалища и бакпосев на гемолитический стрептококк группы b. Пройти обследование у эндокринолога. Для беременности имеют важное значение гормоны щитовидной железы, прогестерон, эстрадиол, пролактин, тестостерон, кортикостероиды. Для половых гормонов ИМЕЕТ ЗНАЧЕНИЕ фаза цикла, их нельзя сдавать как попало. Сроки сдачи анализов 5-6, 14 и 21-25 дни цикла, для этих периодов МЦ существуют нормы уровня гормонов, в другое время полученные результаты сложно интерпретировать.
 - Нужно исключить наличие антифосфолипидного синдрома (анализ на антифосфолипидные тела и волчаночный антикоагулянт).
 - Группа крови и резус-фактор обоих супругов, наличие антирезус-антител.
 - Из дополнительных анализов имеют значение коагулограмма, имммунограмма, анализы на аутоантитела к ДНК, кардиолипину, антитериоидные и др., анализ на гомоцистеин крови и типирование по антигенам HLA (антигены гистосовместимости 2 класса)
 
Как забеременеть после замершей беременности?
В большинстве случаев никакой патологии не находят, и отдохнув, можно попытаться зачать снова. При этом стоит уделить внимание общему состоянию здоровья и планированию беременности. Отказ от вредных привычек, правильное питание, лечение хронических заболеваний и прием фолиевой кислоты в течение нескольких месяцев снижают риск повторения замершей беременности.
При выявлении заболеваний, послуживших причиной замирания плода, проводится лечение после замершей беременности, способствующее зачатию в будущем здорового ребенка.
- Если выявлены инфекционные причины — необходимо их лечение, при хронических заболеваниях добиваются ремиссии.
 - Генетические причины — если имеется ген, сцепленный с женской половой хромосомой, придется рожать девочку на заказ. Гарантированно здорового ребенка можно родить в таких случаях путем искусственного оплодотворения фракционированной спермой мужа, не содержащей сперматозоидов с мужской половой хромосомой. При X-сцепленном наследовании патологических генов это лучший способ родить здорового малыша.
 - Эндокринные заболевания — лечение у эндокринолога, при необходимости гормональная поддержка наступившей беременности.
 - Резус-конфликт — лечение антирезус-иммуноглобулином.
 - АФС, гиперкоагуляция, пороки развития и опухоли половых органов требуют лечения до наступления беременности.
 
Самое трудное после потери малыша смириться с несчастьем. Многие женщины, пережив это, испытывают чувство вины, получают глубокую психологическую травму.
Важно не отчаиваться и верить в свои силы. Вы не одиноки, такое происходит с миллионами женщин, и вы ни в чем не виноваты. Вполне возможно, что эта замершая беременность предотвратила рождение глубоко больного ребенка, природа избавила его от страданий в самом начале пути, проведя такой вот жестокий естественный отбор. И это не ваша вина.
Верьте в себя, с надеждой смотрите в будущее, вы обязательно справитесь, здоровая беременность после замершей беременности возможна и стала реальностью для огромного числа женщин, и в вашей семье тоже обязательно появится долгожданный ребенок.
