Что такое МРТ и как формируется диагноз
Магнитно-резонансная томография (МРТ) — это современный метод визуализации внутренних структур организма, основанный на использовании магнитного поля и радиоволн. Этот метод позволяет получить детальные изображения мягких тканей, органов и систем, что особенно важно для выявления патологий, которые сложно обнаружить при помощи других методов диагностики.
Процесс постановки диагноза по результатам МРТ включает несколько этапов. Сначала врач-рентгенолог или специалист по лучевой диагностике проводит расшифровку полученных снимков. Эти снимки демонстрируют изменения в тканях, наличие аномалий, воспалительных процессов, новообразований и других патологий. На основании анализа изображений и медицинской истории пациента специалист формирует окончательное заключение.
Важно помнить, что МРТ сама по себе не ставит диагноз, а лишь предоставляет информацию для его постановки. Интерпретация снимков требует глубоких знаний анатомии, физиологии и клинической картины болезни. Поэтому результаты МРТ должны оцениваться в комплексе с симптомами пациента и другими лабораторными методами исследования.
Основные виды патологий, обнаруживаемых с помощью МРТ

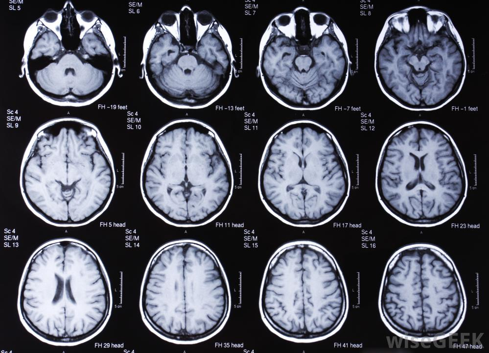
МРТ диагностирует широкий спектр заболеваний, включая неврологические нарушения, опухоли, воспалительные и дегенеративные процессы. Одними из самых распространённых направлений применения являются обследование головного и спинного мозга, суставов, внутренних органов брюшной полости и малого таза.
При исследовании головного мозга с помощью МРТ можно обнаружить такие патологии, как инсульты, рассеянный склероз, опухоли, травматические повреждения и инфекции. В области позвоночника метод позволяет выявить протрузии и грыжи межпозвоночных дисков, сдавления нервных корешков и дегенеративные изменения позвонков.
Кроме того, при обследовании суставов МРТ помогает определить воспалительные процессы, повреждения связок и сухожилий, а также артрит и остеоартроз. При исследованиях брюшной полости и малого таза с помощью МРТ обнаруживаются опухоли, кисты, воспалительные заболевания и сосудистые патологии.
Особенности расшифровки результатов МРТ
Расшифровка результатов МРТ — процесс, требующий высокой квалификации и опыта. Врач оценивает качество изображений, сопоставляет их с клиническими симптомами и анамнезом пациента. Очень часто для подтверждения диагноза требуется консультация профильных специалистов — неврологов, ортопедов, онкологов и других врачей.
При анализе результатов учитывается локализация обнаруженных нарушений, их размер, структура, наличие изменений в окружающих тканях и динамика процесса, если исследование проводится повторно. Важно, что некоторые патологические изменения могут быть вариантом нормы или возрастными изменениями, не требующими лечебных мероприятий.
Пациентам следует понимать, что окончательный диагноз не ограничивается заключением радиолога. Заключение МРТ — это часть общей диагностической картины, которую врач лечащий должен интерпретировать с учётом полного клинического обследования.
Рекомендации по дальнейшим действиям после получения результатов МРТ

После получения заключения МРТ необходимо проконсультироваться с лечащим врачом для уточнения диагноза и выбора оптимальной тактики лечения. Врач может назначить дополнительные исследования, такие как анализы крови, биопсию или другие методы визуализации, чтобы подтвердить или уточнить диагноз.
В ряде случаев для контроля за динамикой заболевания рекомендуется повторное проведение МРТ через определённые промежутки времени. Врачи также могут рекомендовать изменения образа жизни, медикаментозную терапию или хирургическое вмешательство в зависимости от характера выявленных патологий.
Очень важно не заниматься самостоятельной интерпретацией результатов, так как это может привести к неправильным выводам и ухудшению состояния здоровья. Только профессионал способен объективно оценить все данные и назначить безопасное и эффективное лечение.
