
Перед протезированием пациент должен пройти ряд подготовительных процедур. Врач-ортопед составит полную карту операции, чтобы вы могли оценить состояние ваших зубов и костной ткани. По полученным результатам уточняется дальнейшая подготовка зубов к установке протеза.
О протезирование зубов в стоматологии «Роял Дент» можно узнать подробнее на сайте https://zub66.ru/katalog-uslug/protezirovanie-zubov/
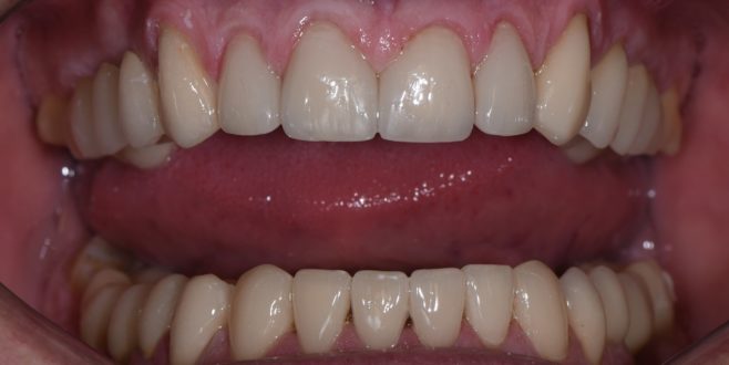
Какой протез порекомендует врач?
Не всегда показывает, что установка съемная. Неподвижные зубы, если они разумны, также могут решить многие проблемы в полости рта.
Многие пациенты сталкиваются с проблемами, варьирующимися от обширного повреждения зубов до полного разрушения и потери. Многих интересуют несъемные протезы.
Перед началом любой процедуры проводятся проверки, в том числе:
Ортодонтическая перспектива — это рентген всей челюсти, позволяющий врачу оценить состояние полости рта и выявить заболевания, которые невозможно обнаружить невооруженным глазом.Выявление противопоказаний к протезам основывается на снимках и опросах пациентов.
В зависимости от материала и формы изготовления различают следующие виды протезов:
- Нейлоновые и акриловые конструкции могут быть комплектными или частичными, фиксироваться специальными замками или присосками из аналогичных материалов. Они требуют постоянного ухода в виде очистки и дезинфекции. Крышка состоит из металлического каркаса, нейлона и пластика. Его удобно носить, его нелегко повредить, он оснащен замком безопасности.
- Бюгельные состоит из металлической арки, пластмассовой основы (похожей на жевательную резинку) и короны. У них может быть несколько вариантов установки. Конструкция съемная.Телескопическая коронка установлена как телескоп.
- Опоры — это смежные блоки, которые нужно повернуть до необходимого размера.
- Незамедлительные протезы также называют «бабочками» из-за их характеристик прикрепления. Они используются для замены зуба и представляют собой временную реставрацию.
- Зубной мост — это комбинация нескольких коронок, при этом внешняя коронка надевается на коронку здорового зуба. Допускается замена части зубного ряда.Клей представляет собой своего рода мостовидный протез, но из-за того, что особое внимание уделяется исключительно здоровым зубам, он прикрепляется. Преимущество в том, что нет необходимости переворачивать.
- Минипротезирование предполагает использование коронок, вставок или виниров для восстановления одного или нескольких зубов.
- Зубная коронка — это протез, который надевается на видимую поверхность. Вставка похожа на пломбу и используется в случае сильного повреждения.Винир относится к эстетической реставрации передних зубов.
- Имплант — неотъемлемая часть протеза. Это титановые корни, имплантированные в кость челюсти, которые могут соединять с ними различные структуры. С их помощью можно заменить один зуб и целый ряд зубов одновременно.
Желаем вам красивой улыбки и безболезненного лечения.
